Last updated: 23 มี.ค. 2567 | 182573 จำนวนผู้เข้าชม |
ผลลัพท์อาจแตกต่างกันออกไป แล้วแต่บุคคล
Fordyce Spot ตุ่มไขมันที่ริมฝีปาก คืออะไร มีลักษณะอย่างไร & มีวิธีดูแลได้อย่างไรบ้าง?
>> https://youtu.be/jo38opQztf4?si=uez0Cr8s32tJ8HLV
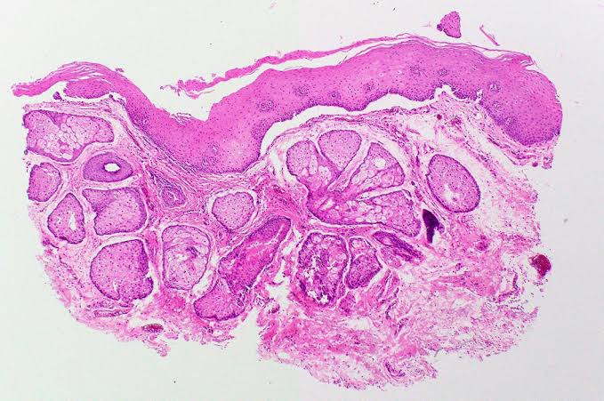
• Fordyce Spot ลักษณะตุ่มเล็กๆ สีขาวอมเหลือง ขนาด 1-5 มิลลิเมตร บริเวณริมฝีปาก ในบางคนอาจพบที่อวัยวะเพศได้ เราเรียกว่า “Fordyce spots”
• เกิดจากการเจริญผิดที่ของต่อมไขมัน (Sebaceous gland) ไปเกิดในตำแหน่งที่ไม่มีรูขุมขน = Ectopic sebaceous gland เช่น ริมฝีปาก อวัยวะเพศ ซึ่งโดยปกติแล้วต่อมนี้จะพบในบริเวณมีรูขุมขน
• ภาวะนี้พบได้บ่อยถึง 80-90% โดยชาย > หญิง
ส่วนมากมักพบตั้งแต่เด็ก อาจมีขนาดใหญ่ขึ้นและเพิ่มปริมาณมากขึ้น อาจมากถึง 50-100 อัน หรือเห็นชัดขึ้นเมื่อย่างเข้าสู่วัยรุ่นเป็นต้นไป อย่างไรก็ตามบางรายอาจพบในช่วงอายุที่มากขึ้นได้
• ภาวะนี้ไม่ใช่โรคติดต่อ ไม่ใช่โรคติดเชื้อ และไม่ใช่โรคติดต่อทางเพศสัมพันธ์ ไม่ใช่ภาวะที่อันตราย





.

ต่อมไขมัน Fordyce spot มีอาการอย่างไร?
ต่อมไขมัน Fordyce spot มีลักษณะเป็น เม็ด หรือ ตุ่มนูนสีขาว หรือ สีเหลืองอ่อน ขนาดประมาณ 1-5 มิลลิเมตร (มม.) พบได้ที่ อวัยวะเพศชาย (ทั้งที่ถุงอัณฑะ หรือที่หนังองคชาติ) อวัยวะเพศหญิง ขอบริมฝีปาก และ/หรือ ที่กระพุ้งแก้ม ไม่มีอาการคัน อาจพบเป็นตุ่มเดี่ยวหรือพบเป็นกลุ่มก็ได้ ซึ่งเมื่อเกิดขึ้นแล้ว เม็ดหรือตุ่มเหล่านี้จะคงอยู่ตลอดไป
ต่อมไขมัน Fordyce spot คือต่อมไขมันปกติที่มีลักษณะแตกต่างจากต่อมไขมันทั่วไปคือ ต่อมไขมันทั่วไปจะพบในปุ่มรากขน/พบร่วมกับต่อมขน (Hair follicle) แต่ Fordyce spot คือต่อมไขมันที่ไม่พบร่วมกับต่อมขน จัดเป็นความแตกต่างปกติตามธรรมชาติ ไม่จัดเป็นโรค หรือเป็นโรค ติดต่อแต่อย่างใด ไม่มีส่วนสัมพันธ์กับการติดเชื้อ และไม่สัมพันธ์หรือมีสาเหตุจากโรคติดต่อทางเพศสัมพันธ์
ต่อมไขมัน Fordyce spot มักเริ่มสังเกตเห็น เม็ดหรือตุ่ม Fordyce spot ในช่วงวัยรุ่น ซึ่งจะเพิ่มขนาดและจำนวนมากขึ้นเมื่อเข้าวัยผู้ใหญ่ โดยยังไม่พบว่ามีอะไรเป็นปัจจัยเสี่ยงให้เกิด ทั้งนี้ รอยโรคไม่หายไป แต่ไม่ก่ออาการ และไม่เปลี่ยนเป็นมะเร็ง





การรักษา
หลีกเลี่ยงการกดหรือบีบ ซึ่งอาจทำให้เกิดแผลและติดเชื้อตามมาได้
การรักษาด้วยเลเซอร์สามารถกำจัดรอยโรคได้ แต่อาจมีการกลับเป็นซ้ำได้อีก
• CO2 laser แต่บางรายอาจเกิดรอยแผลเป็นตามมาได้หลังการรักษา
• Pulse dye laser พบรอยแผลเป็นหลังการรักษาน้อยกว่า
การรักษาด้วย Micro-punch surgery การผ่าตัดออกด้วยการใช้เข็มอุปกรณ์ขนาดเล็กพบการกลับเป็นซ้ำค่อนข้างน้อยมาก ผลการรักษาค่อนข้างดี
การใช้ยาทา
• Chemical peeling ใช้ร่วมกับหัตถการข้างต้น เพื่อผลัดเซลล์ผิวที่ผิดปกติออก เช่น Trichloroacetic acid, bichloroacetic acid
• Topical clindamycin กรณีที่รอยโรคมีอาการอักเสบ บวม แดง
Photodynamic therapy PDT
Oral isotretinoin อย่างไรก็ตามการทานยามีผลข้างเคียงค่อนข้างมาก ควรอยู่ในการควบคุมดูแลโดยแพทย์เฉพาะทาง ไม่ควรซื้อยามาทานเอง
...
ปรึกษาคุณหมอหรือสอบถามเพิ่มเติมได้ที่
Tel : 063-959-4392
Line: http://line.me/ti/p/@Demedclinic
Line: @Demedclinic
Wechat/Whatsapp: Demedclinic
IG: https://www.instagram.com/drsuparuj
www.facebook.com/drsuparuj
Youtube: https://bit.ly/3p20YLE
Blockdit: https://bit.ly/3d8vYr1
https://vt.tiktok.com/ZSJ141Mdf/
https://mobile.twitter.com/drruj1
www.demedclinic.com / www.demedhaircenter.com
1 เม.ย 2569