Last updated: 6 ก.ค. 2566 | 3434 จำนวนผู้เข้าชม |
ผลลัพท์อาจแตกต่างกันออกไป แล้วแต่บุคคล
ผลลัพท์อาจแตกต่างกันออกไป แล้วแต่บุคคล
ผลลัพท์อาจแตกต่างกันออกไป แล้วแต่บุคคล
ผลลัพท์อาจแตกต่างกันออกไป แล้วแต่บุคคล
ผลลัพท์อาจแตกต่างกันออกไป แล้วแต่บุคคล
เทคนิครักษากระโฮริ กระลึก ปานโฮริ (Hori's nevus) ด้วยเลเซอร์ Discovery Picosecond Laser
https://youtu.be/Q1iMIbkOPnA
กระลึก ปานโฮริ หรือ กระโฮริ (Hori's nevus) ดูแลได้อย่างไร? & เทคนิคการดูแลด้วย Discovery Picosecond Laser
https://youtu.be/JuUxXlhPCl8










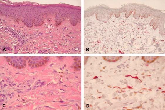
ลักษณะของกระลึก Hori’s Nevus
กระลึกมีลักษณะเป็นจุดสีน้ำตาล ถึงเทา ขนาด 3-5 มม. บนโหนกแก้มสองข้าง
•มักเกิดขึ้นบริเวณโหนกแก้มในชาวเอเชีย เริ่มปรากฏตอนอายุ 20 ปีขึ้นไป
•ลักษณะคล้ายฝ้า จนอาจเข้าใจว่าเป็นฝ้า แต่การรักษาจะแตกต่างกัน
•มักพบว่า มีอาการร่วมกับ การเป็นฝ้า จึงต้องให้แพทย์ผู้มีประสบการณ์ตรวจ ประเมินก่อนทำการรักษาเสมอ
ผลลัพท์อาจแตกต่างกันออกไป แล้วแต่บุคคล
ผลลัพท์อาจแตกต่างกันออกไป แล้วแต่บุคคล
ผลลัพท์อาจแตกต่างกันออกไป แล้วแต่บุคคล
ผลลัพท์อาจแตกต่างกันออกไป แล้วแต่บุคคล





การรักษา
•สามารถรักษาโดยเลเซอร์ที่มีความจำเพาะต่อเม็ดสี เช่น เลเซอร์ Q-switch Nd-YAG, Q-switch Alexandrite
•หรือนวัตกรรมใหม่ล่าสุดคือ Picosecond Laser ด้วยค่าพลังงานที่เหมาะสม * https://youtu.be/JuUxXlhPCl8
•การรักษาต้องใช้จำนวนครั้งไม่ต่ำกว่า 5 ครั้ง จนในที่สุดจะจางหายไปเกือบหมดโดยไม่ทิ้งรอยแผลเป็น
•สิ่งสำคัญที่ควรทราบคือหลังทำเลเซอร์ใหม่ๆ บริเวณที่ทำการรักษาจะมีสีเข้มขึ้นและดูเป็นวงกว้างขึ้นแต่จะค่อยๆจางไปเองครับ
กระลึก สามารถรักษาได้ด้วยเลเซอร์ที่จำเพาะกับเม็ดสี เช่น Q-switched NdYAG laser, Picosecond Laser ซึ่งต้องรักษา 5-10 ครั้ง เมื่อรักษาหายแล้วมักไม่กลับเป็นซ้ำครับ
•โดยงานวิจัยล่าสุดพบว่าเลเซอร์ picosecond laserให้ผลการรักษากระแดดและกระลึกได้ดีกว่าเลเซอร์ Q-switched และเจ็บน้อยกว่า และมีแนวโน้มว่าจะเกิดรอยคล้ำหลังเลเซอร์น้อยกว่าครับ
Ungaksornpairote C et al R. A Prospective, Split-Face, Randomized Study Comparing Picosecond to Q-Switched Nd: YAG Laser for Treatment of Epidermal and Dermal Pigmented Lesions in Asians. Dermatol Surg. 2020 Dec;46(12):1671-1675.
- การรักษาด้วยเลเซอร์ต้องใช้เทคนิคการยิงเฉพาะ เนื่องจากเม็ดสีอยู่ลึกครับ
- การทายามักไม่ได้ผลครับ แต่จำเป็นต้องใช้ครีมกันแดดเพื่อป้องกันไม่ให้ กระโฮริ เข้มขึ้น
- ต้องแยกกับ ฝ้า กระแดด กระ เนื่องจากการรักษาต่างกัน ครับ
Hori’s Nevus is a skin hyperpigmentation condition that appears almost exclusively in Asian women from the second decade of life. It arises from the deeper dermal layer of the skin and is often confused for freckles and melasma.
Hori’s nevus is synonymous with acquired bilateral nevus of ota-like macules (ABNOM) and nevus foscoceruleus zygomaticus.
Hori’s nevus manifests as symmetrical blue-brown to grey spots mainly on the cheeks. In some circumstances, it may affect the forehead, temples and eyelids.
Hyperpigmentation conditions that involve the deeper dermal layers of the skin have a bluish or greyish tinge due to the way light is reflected back into our eyes.
Multiple laser horis nevus treatment (at least 4) are usually necessary. Most individuals report good results following laser therapy.
Pico-second laser horis nevus treatment has been reported to be more effective, less painful and associated with a lesser risk of post-inflammatory hyperpigmentation. The latter is especially important as most individuals with Hori’s nevus are of Asian skin type.
Cr:หมอรุจชวนคุย
https://s.lemon8-app.com/s/xffffhYQQR
https://youtu.be/ZVYntBRxw4I
https://bit.ly/3w5fbuT
https://youtu.be/mV3c3NGyxAY
https://youtu.be/hkIa0OYiAg0
https://youtu.be/hkIa0OYiAg0
https://youtu.be/uPNg7_c-EsM
https://youtu.be/sqSE9h_Mt_s
https://youtu.be/JuUxXlhPCl8
https://youtu.be/JuUxXlhPCl8
https://youtu.be/Q1iMIbkOPnA
...
...
ปรึกษาคุณหมอหรือสอบถามเพิ่มเติมได้ที่
Tel : 063-959-4392 / 063-896-2514
Line: http://line.me/ti/p/@Demedclinic
Line: @Demedclinic
Wechat/Whatsapp: Demedclinic
IG: https://www.instagram.com/drsuparuj
www.facebook.com/drsuparuj
Youtube: https://bit.ly/3p20YLE
Blockdit: https://bit.ly/3d8vYr1
https://vt.tiktok.com/ZSJ141Mdf/
https://mobile.twitter.com/drruj1
www.demedclinic.com / www.demedhaircenter.com
1 เม.ย 2569